أكد أسعد عوض مسؤول العلاقات العامة والإعلام في كلية هشام حجاوي التكنولوجية، للنجاح الإخباري، اليوم الخميس، أن الرصاصة التي أصابت نافذة الكلية ليلة أمس الأربعاء، ماهي ...
أصيب شاب من طلبة جامعة فلسطين التقنية "خضوري" في طولكرم، برصاصة معدنية مغلفة بالمطاط في عينه، إضافة إلى العشرات بحالات اختناق خلال مواجهات اندلعت مع ...
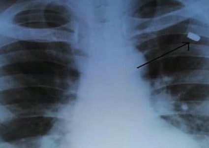
حمل الروسي ألكسي ألفيورف، رصاصة في عينه لمدة 17عاما، والتي تعود لسنوات الدراسة. وحسب موقع" غوفوريت موسكفا" الروسي، فإن الحادث يعود إلى أيام الدراسة، حيث ...
جت فتاة سعودية من رصاصة طائشة اخترقت كتابها فيما كانت هي منزلها تراجع دروسها للإمتحانات في محافظة القنفذة إحدى محافظات منطقة مكة المكرمة. فوفقاً لموقع ...
أثارت رصاصة "كومفورت 32" الروسية الجديدة دهشة خبراء أمريكيين قاموا باختبارها ونشر مقطع فيديو للتجربة على يوتيوب. ولاختبار قوة الرصاصة الروسية، أطلقها الخبراء على مجموعة ...