ونشر العلماء نتائج دراستهم في مجلة "Nature Communications". وجاء فيها أن مركب قطرات العين المعروف بـ "SPHINX31" الذي يستخدم عادة في علاج أمراض شبكية العين، ...
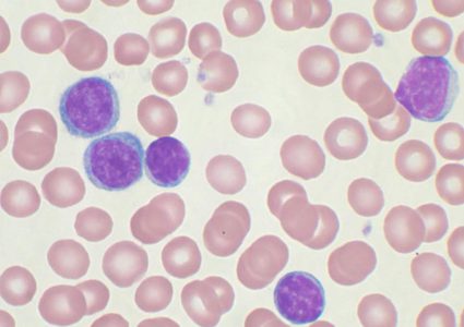
تتجه مستشفيات بريطانيا إلى بدء علاج "ثوري" لمرضى سرطان الدم (اللوكيميا) من خلال الاعتماد على تقنية باهظة تعيد برمجة النظام المناعي لدى المصابين بالمرض الخبيث. ...
وافقت هيئة الغذاء والدواء الأميركية FDA على عقار جديد لعلاج المرضى البالغين الذين يعانون من سرطان الدم النخاعي الحاد أو ما يعرف بـ"اللوكيميا". وأوضحت الهيئة ...
أفادت أحد الأبحاث الحديثة بأنه يمكن التأكد من الإصابة بسرطان الدم "لوكيميا" في يوم واحد من خلال إجراء فحص كامل للحمض النووي قبل ظهور الأعراض. وأوضح ...
ذكر موقع رابطة العلوم المتقدمة الأمريكية، أن فريقا من الباحثين في جامعة بوسطن، اكتشفوا أن أحد البروتينات يتسبب بتكاثر وتحوّل فيروس تي- اللمفاوي البشري الذي ...
حصل معهد المناطق القاحلة (حكومي) بمحافظة مدنين جنوب شرقي تونس، على براة اختراع لدواء جديد مضاد لمرض سرطان الدم، تم استخراجه من نبتة "اللاّزول" الموجودة ...